Kako bi dijagnosticirati pravi uzrok bol u ramenu, potrebno je dobro kliničko rezoniranje. Kliničko rezoniranje predstavlja dolazak do dijagnoze kroz iščitavanje pacijentovih simptoma.
Niti jedan zglob u ljudskom tjelu ne bude tako često pogrešno dijagnosticiran i tretiran pod pogrešnom dijagnozom kao rame, a razlog tomu je to što se tijekom pregleda više vremena posveti radiološkoj slici nego pacijentovim simptomima.
NAJČEŠĆE ZABLUDE
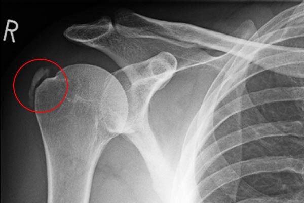
Svi su čuli za kalcifikat (pijesak) u ramenenu kojega radiolog otkrije preko rendgen snimke, te potom svi stručnjaci taj isti kalcifikat optuže za sami uzrok boli. U većini slučajeva zaključak je pogrešan, jer kalcifikat je najčešće asimptomatičan!

Slika 1 pokazuje kalcifikat na tetivi supraspinatusa (najčešće kalcifikat nije uzrok boli)
Magnetna rezonanca ramena uglavnom otkrije minimalno 5 anatomskih promjena, te te je teško zaključii od koje od tih pet struktura bol dolazi! Magnetna rezonanca ne govori koji je uzrok boli, nego samo pokazuje anatomske promjene koje vjerovatno postoje i na drugom ramenu koje vas ne boli!
NETOČNE DIJAGNOZE (bol u ramenu)
Liječnici često znaju postaviti dijagnozu” impigment-a” (uklještenja), no ta dijagnoza je općenita te opet ne govori koja struktura iz ramena je uzrok problema niti što je se točno uklještilo! Ekvivalent tomu bi bio da odvezete auto automehaničaru, te da on kaže da je se nesto pokvarilo?! Pravi primjer dijagnzoe u ramenu trebao bi biti npr.: tendinitis tetive subscapularisa.
Liječenje svakog bolnog ramena stavljanjem elektroterapije pod dijagnozom “smrznutog ramena” davno je prevaziđeno. Ili barem bi trebalo biti.
KAKO POSTAVITI PRAVU DIJAGNOZU
Mi u našim Išijas klinikama kroz Cyriax kliničko rezoniranje, nakon 10 minuta, uz pomoć pregleda i funkcionalnih testova, doći ćemo do validne dijagnoze (uzroka problema), u 9 od 10 slučajeva.
Da bi razlučili da je je bol u ramenu i nadlaktici iz vratne kralježnice ili iz ramena, potrebno je “opteretiti” (testirati) i vrat i rame, te prvo odgonetnuti koja od te dvije strukture izaziva simtome. Ako zaključimo da je problem rame, tada opteretimo svaku tkivnu strukturu zasebno, da razlučimo koja od nih je uzrok boli.
Prava dijagnoza je jako bitna jer se svaka ozljeda liječi na različit način (kasnije u tekstu biti će objašnjeni načini liječenja svake ozljede).
Npr. upala tetive supraspinatusa dati će određene simptome, akutni subdeltoidni bursitis skroz druge simptome, neka treća ozljeda treće simptome itd. Samo precizna dijagnostika iznjedriti će najbolju terapije te najbrži oporavak.
NAJČEŠĆI PROBLEMI
1.Upale tetiva (tendinitisi)
Tetiva m.supraspinatusa najčešći je uzrok boli. Slijede je jos dvije tetive rotatorne manžete, a svaka daje posebne simptome i posebne smetnje za pacijenta. Netko nemože podići ruku bočno, netko ne može uraditi unutarnju ili vanjsku rotaciju. Na pregledu je to jako lagano diferencirati, te započeti s tretmanima. Tretmani za tendinitise su transvezalne frikcije upalnih mjesta. Vidljivo na slici ispod. Ukoliko one ne pomognu, može se raditi infiltracija kortikosteroida u bolnu tetivu. Iza injekcije potreban je određeni period mirovanja I poštede ruke.

Slika 2 prikazuje transverzalnu frikciju tetive supraspinatusa
2.Burzitisi
Burze su male sluzne vrećice u ramenu, koje se mogu upaliti uslijed preopterećenja ili čak i bez njega. Postoji par oblika subdeltoidnog burzitisa u ramenu, neki od njih ne pokazuju tendenciju spontanog prolaska, te mogu potrajati po 5 godina. Burzitisi često daju bol koja je prisutna čak i u mirovanju, mada je to moguće i kod većih ozljeda tetiva. Tretman je infiltracija anestetika u kombinaciji sa kortikosterodiom direktno u burzu. Ukoliko se napipa bol ispod deltoidnog (ramenog) mišića, infiltracija lijeka ide u tu bolnu točku. Ukoliko bolne točne nema, problem je u dijelu burze ispod akromiona, te se mora infiltrirati lijek u to mjesto. Vidljivo na slici ispod.
2.Burzitisi
Burze su male sluzne vrećice u ramenu, koje se mogu upaliti uslijed preopterećenja ili čak i bez njega. Postoji par oblika subdeltoidnog burzitisa u ramenu, neki od njih ne pokazuju tendenciju spontanog prolaska, te mogu potrajati po 5 godina. Burzitisi često daju bol koja je prisutna čak i u mirovanju, mada je to moguće i kod većih ozljeda tetiva. Tretman je infiltracija anestetika u kombinaciji sa kortikosterodiom direktno u burzu. Ukoliko se napipa bol ispod deltoidnog (ramenog) mišića, infiltracija lijeka ide u tu bolnu točku. Ukoliko bolne točne nema, problem je u dijelu burze ispod akromiona, te se mora infiltrirati lijek u to mjesto. Vidljivo na slici ispod.

Slika 3 prikazuje infiltriranje lijeka u subdeltoidnu burzu (subakromialni dio)
Ovo je jos jedan razlog zasto dijagnostika mora biti precizna, jer u slučajevima burzitisa elektroterapija nedaje nikakve rezultate, štoviše pogoršava ih.
3. Smrznuto rame
Gore smo naveli da je ova dijagnoza prezastupljena u svakodnoj terminologiji I dijagnostici ramena. Iako burzitisi i upale tetiva zauzimaju preko 90% svih ramenih patologija, smrznuto rame je prisutno u jednog dijela pacijenata. Iz nekog razloga rame se smrzne, točnije izgubi mobilnost te tako ostane čak i do 2 godine. Nije svaka nemogućnost podizanja ruke smrznuto rame. Postoji striktan obrazac pokreta koji mora biti ograničen da bi ta dijagnoza bila potvrđena I postavljena. Bol se može spustati čak i do šake, bol može biti prisutna i u mirovanju te spavanje na aficiranoj strani može biti onemogućeno. Ovisno u kojoj je fazi (faza 1,2 ili 3), tretmani mogu biti ili istezanje zglobne kapsule, ili pak niz injekcija kortikosteroida direktno u interartikularni (zglobni) prostor. Injekcije kortikosteroida su čak najbolji vid liječenja smrznutog ramena. Kod starijih ljudi imamo osteoarthritis, starački zglob koji je istrošen. Kod ovoga tipa promjene su uglavnom ireverzibilne, ali infiltracija kortikosteroida može biti dobra solucija.Postoje jos određene ozljede ostalih struktura u ramenu, ali oni zauzimaju dosta malen postotak bolnog ramena.
ZAKLJUČAK
Rame je jako specifičan zglob sa jako širokom lepezom raznih ozljeda ili upalnih stanja, te se mora specifično tretirati.
Tretiranje svakog pacijenta elektroterapijom u kombinaciji sa primitivnim vježbama sa štapom, pokazuje jedan nazadan pristup, te je eklatantan primjer neznanja onoga koji liječi pacijenta, te govori mnogo o nerazumjevanju uzroka problema!!
Obratite nam se s punim povjerenjem, te bez čekanja i bespotrebnih radioloških pretraga pronaći ćemo “krivca” za bol u ramenu.